Ngày càng có nhiều ca phẫu thuật phức tạp được thực hiện thành công tại các cơ sở y tế, đánh dấu sự tiến bộ không ngừng của ngành y học. Mới đây, Bệnh viện FV đã đạt được một mốc quan trọng khi thực hiện thành công ca phẫu thuật để loại bỏ một khối u não khổng lồ có đường kính lên đến 6cm. Điều đáng chú ý ở ca phẫu thuật này không chỉ là kích thước lớn của khối u mà còn là sự kết hợp nhịp nhàng giữa nhiều chuyên khoa và việc ứng dụng các công nghệ hiện đại.


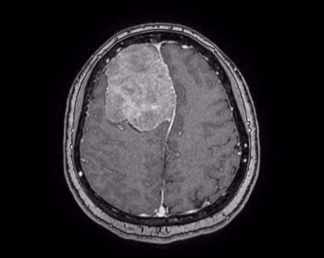
Chị Trịnh Nhật Khánh, một nữ võ sư 45 tuổi đang sinh sống tại TP.HCM, là bệnh nhân thực hiện ca phẫu thuật này. Khối u màng não rất lớn của chị Khánh đã được phát hiện trong quá trình tầm soát đột quỵ tại Bệnh viện FV. Các bác sĩ đã xác định rằng khối u này chèn ép gần 1/4 não và cần phải được loại bỏ sớm để tránh những biến chứng nguy hiểm có thể xảy ra.


Trước khi tiến hành phẫu thuật, các bác sĩ đã lên kế hoạch chi tiết, bao gồm cả việc thuyên tắc mạch máu nuôi khối u. Mục đích của bước này là giảm thiểu rủi ro mất máu trong quá trình phẫu thuật. Song song đó, bệnh viện cũng đã sử dụng hệ thống định vị dẫn đường thần kinh Navigation và hệ thống cắt đốt u bằng siêu âm. Đây là những công nghệ hiện đại giúp đảm bảo ca phẫu thuật được thực hiện thành công và an toàn.
Quá trình phẫu thuật diễn ra trong 4 giờ đồng hồ. Các bác sĩ đã thực hiện việc bóc tách khối u một cách tỉ mỉ và cẩn thận để đảm bảo không gây tổn thương mô não xung quanh. Sau khi khối u được lấy ra khỏi não bệnh nhân, chị Khánh đã bắt đầu hồi phục nhanh chóng. Chỉ 2 giờ sau phẫu thuật, bệnh nhân đã có những dấu hiệu tích cực.

Sự phối hợp chặt chẽ giữa các chuyên gia y tế và việc ứng dụng công nghệ hiện đại đã giúp giảm thiểu nguy cơ mất máu trong quá trình phẫu thuật. Nhờ vậy, rủi ro cho bệnh nhân cũng được giảm thiểu. Hiện tại, chị Khánh đã trở lại cuộc sống bình thường và sức khỏe của chị đã đạt mức 90% so với trước đây.

Không chỉ là một thành công trong việc điều trị, ca phẫu thuật này còn cho thấy sự phát triển không ngừng của ngành y học tại Việt Nam. Việc áp dụng công nghệ hiện đại vào các ca phẫu thuật phức tạp đã mở ra nhiều cơ hội điều trị thành công cho bệnh nhân. Bệnh viện FV tiếp tục khẳng định vị thế của mình trong việc cung cấp các dịch vụ y tế chất lượng cao và tiên tiến.
